W 4dent wierzymy, że piękny uśmiech to nie tylko kwestia estetyki, ale również klucz do pewności siebie i dobrego samopoczucia. Dzięki zaawansowanym technologiom i indywidualnemu podejściu, jesteśmy w stanie realizować marzenia o zdrowych i olśniewających zębach.
Na tej stronie prezentujemy historie osób, które zdecydowały się na zmianę swojego uśmiechu i tym samym, swojego życia. Każda metamorfoza to unikalna podróż, w której łączymy naszą wiedzę, doświadczenie i pasję, aby osiągnąć efekty przekraczające oczekiwania.
Metamorfozy są świadectwem możliwości nowoczesnej stomatologii i determinacji naszych Pacjentów. Niech te historie staną się inspiracją i dowodem na to, że piękny uśmiech jest w zasięgu ręki.
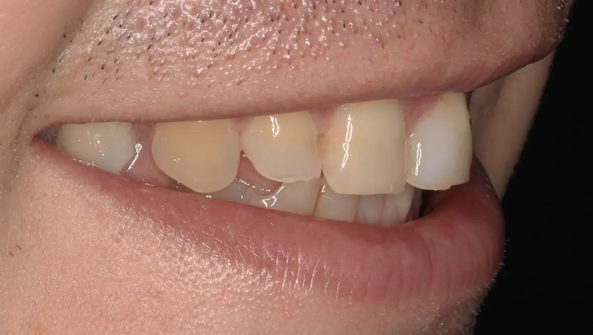
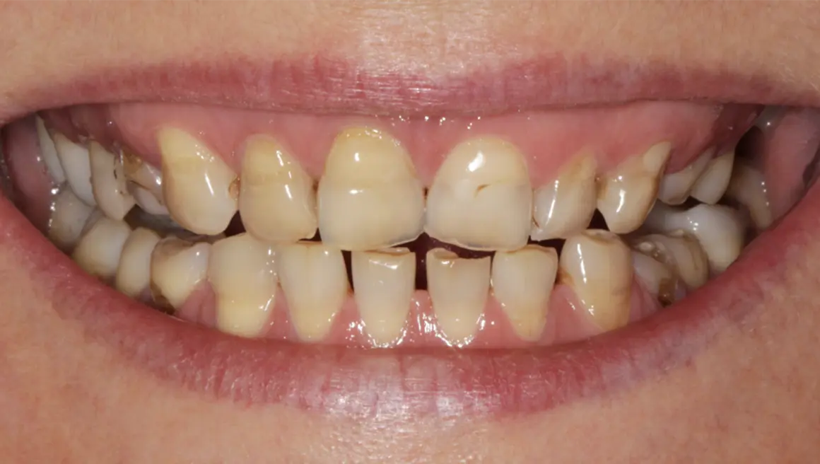
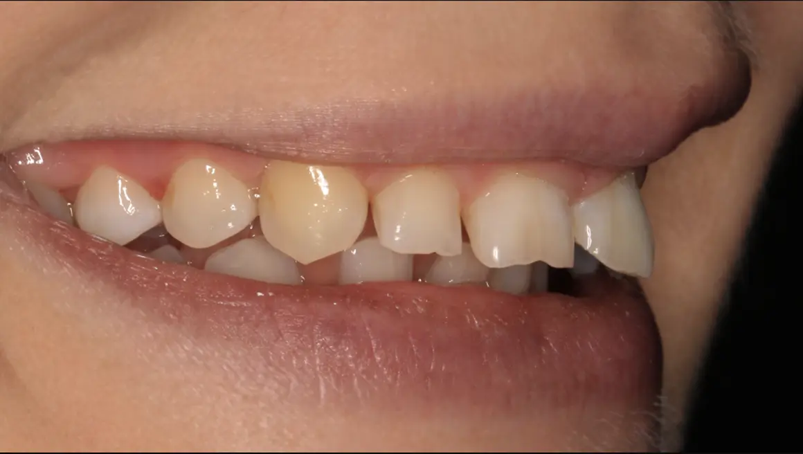
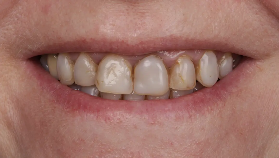
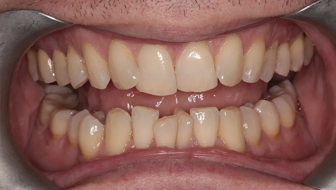
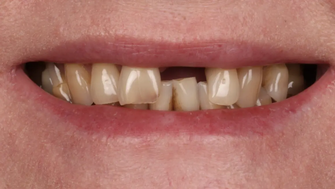
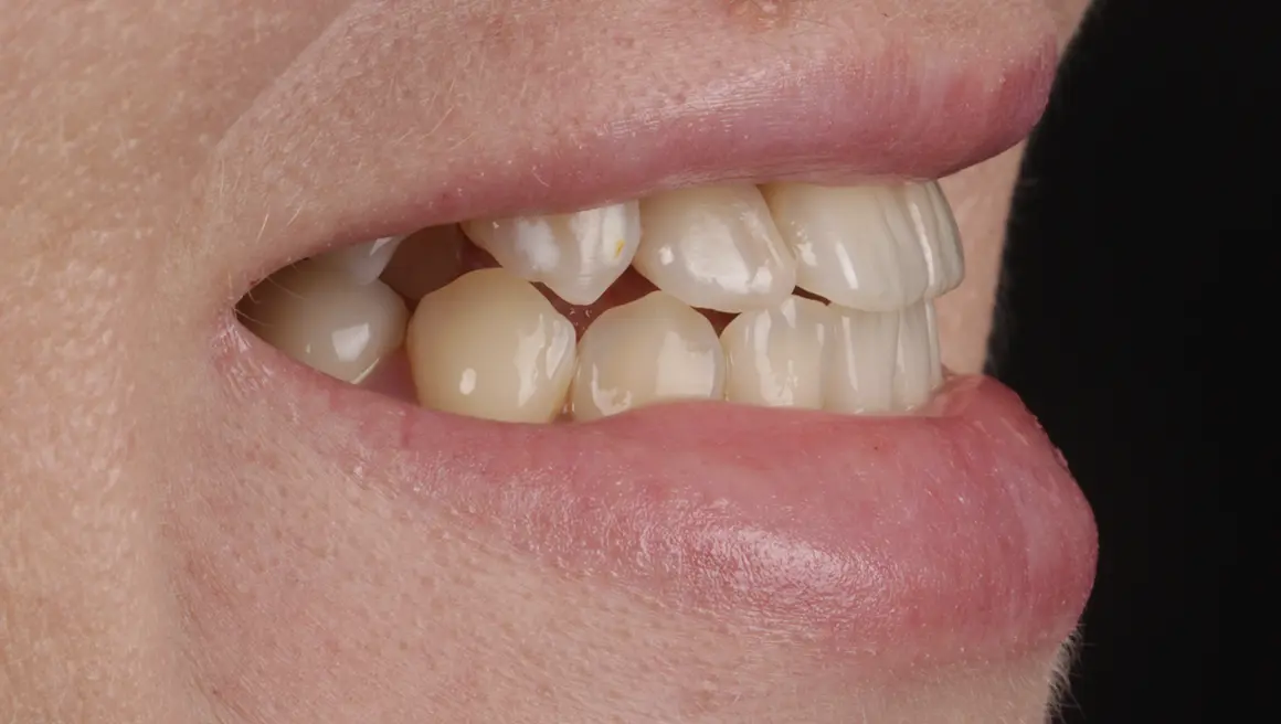
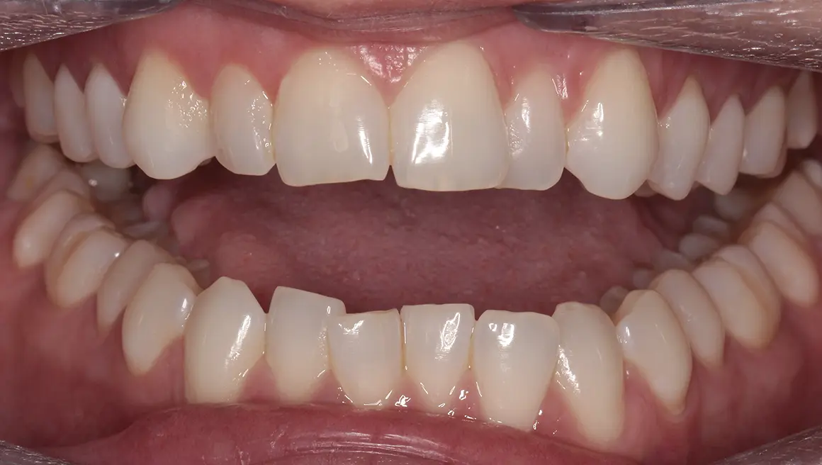
prace łączone
licówki
Licówki to uzupełnienia protetyczne, które są rozwiązaniem problemów z uśmiechem związanych z przebarwionymi, nierównymi, a nawet lekko uszkodzonymi zębami. Pozwalają skorygować kształt, kolor, wielkość i położenie zębów. Ich ogromną zaletą jest niezwykła estetyka i minimalna ingerencja w strukturę zęba, wykonujemy również licówki non-prep.
korony
Korony wykorzystywane są do odbudowy uszkodzonej lub całkowicie zniszczonej korony zęba, poprawy zębów przebarwionych lub martwych czy do wypełnienia szpar między zębami. Sprawdzają się w sytuacji, gdy ząb jest znacznie osłabiony, przez co mógłby się złamać. Korony rekonstruują zęby dając im nową ochronę. Swym wyglądem są niezwykle estetyczne i nie do rozpoznania.
bonding
Bonding to bezpieczna i skuteczna procedura, która pozwala na szybką korektę kształtu, rozmiaru i koloru zębów. Nasz zespół specjalistów stosuje najnowsze technologie i materiały, aby zapewnić Pacjentom piękny uśmiech bez bólu i długotrwałych procedur. Zapraszamy do zapoznania się ze szczegółami zabiegu oraz sprawdzenia, jakie piękne metamorfozy zostały przeprowadzone w 4dent.
protezy na implantach
Brak zębów nie musi oznaczać utraty komfortu jedzenia, swobodnego uśmiechania się czy pewności w mówieniu. Jeśli Twoja obecna proteza jest niewygodna i wymaga ciągłego kontrolowania jej ułożenia, 4dent oferuje nowoczesne rozwiązanie – protezy osadzone na implantach. Dzięki temu rozwiązaniu, możesz cieszyć się stabilnością, komfortem i estetyką, jakiej oczekujesz od swojego uśmiechu.
ortodoncja tradycyjna i nakładkowa
Proste zęby, a zatem piękny uśmiech dodają nam atrakcyjności i pewności siebie. Leczenie ortodontyczne nie tylko poprawia naszą estetykę uśmiechu ale także, może zmniejszyć ryzyko rozwoju próchnicy czy chorób przyzębia, często spowodowanych stłoczonymi, nieprawidłowo ustawionymi zębami. Przecież każdy zasługuje na zdrowy, piękny i prosty uśmiech!




















































































